Cabinet des Docteurs Stéphane DEGREMONT & Capucine ROUMIGUIÉ
Pyrénées Sourires Orthodontie Chirurgiens-Dentistes à TARBES

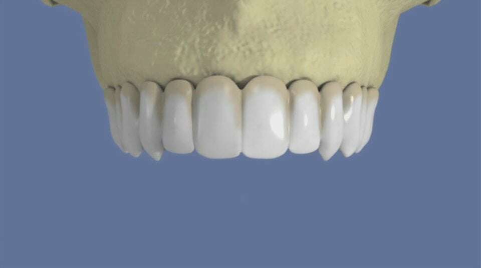
Maxillaire : bridge vissé sans fausse gencive


video-play-icon