Cabinet des Docteurs Stéphane DEGREMONT & Capucine ROUMIGUIÉ
Pyrénées Sourires Orthodontie Chirurgiens-Dentistes à TARBES

Blog - Page 21

Comblement osseux après une extraction dentaire

Comblement osseux après une extraction dentaire

Maxillaire complet et traitement implantaire pour un bridge fixe vissé

Maxillaire complet et traitement implantaire pour un bridge fixe vissé

Comblement de sinus par abord latéral sans pose d’implant

Comblement de sinus par abord latéral sans pose d’implant

Utilisation du fil dentaire

Utilisation du fil dentaire

Conseils pratiques pour une bonne hygiène bucco-dentaire avec un appareil

Conseils pratiques pour une bonne hygiène bucco-dentaire avec un appareil

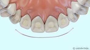
Fil de contention

Fil de contention

Affichage des articles 121-126 sur 172